BPA-free tooth colored fillings | Veneers | Teeth Whitening | Full-Mouth Reconstruction | Clear Aligners (Invisalign®) | Microabrasion | Metal-Free Crowns | Gingival Recontouring | Smile Gallery
Veneers
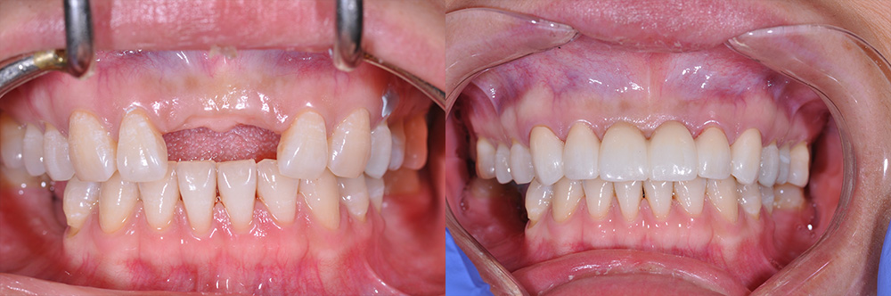
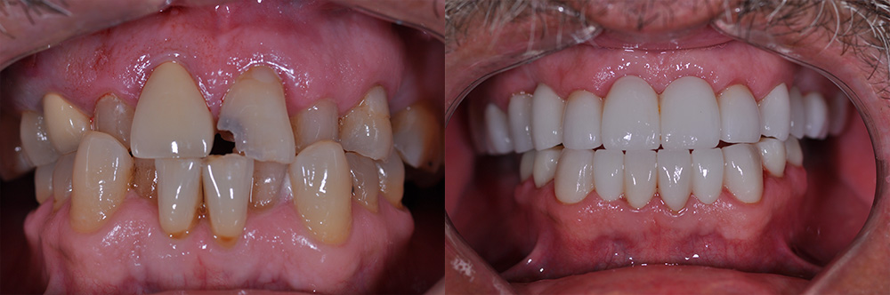
Full Mouth
Bridge
Aesthetic Bonding
Metal Crown Replacement